Quy Trình Niềng Răng Hô – Lấy Lại Tự Tin Từ Nụ Cười Tự Nhiên
Niềng răng hô là gì?
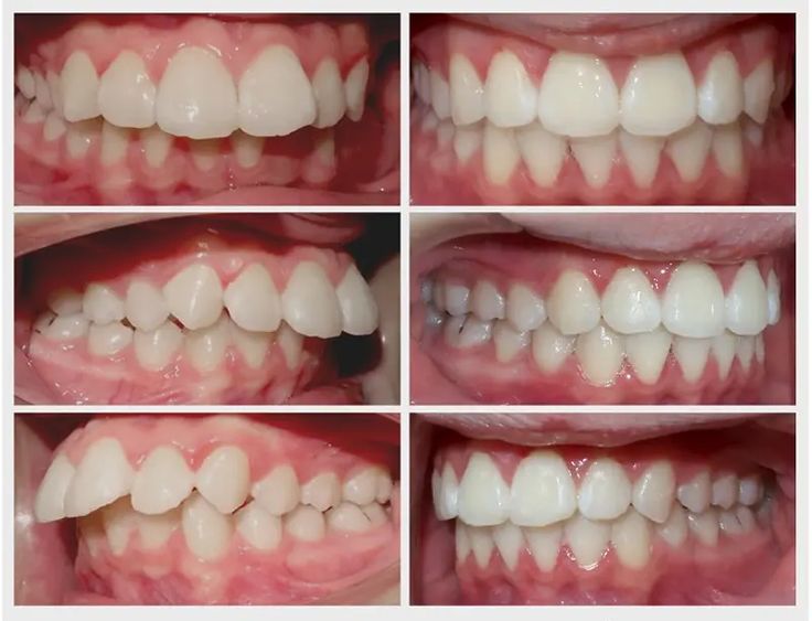
Răng hô là tình trạng răng cửa hàm trên chìa ra ngoài quá mức so với hàm dưới, gây mất cân đối khuôn mặt, khó khăn khi ăn nhai và phát âm không tròn tiếng. Niềng răng hô là phương pháp sử dụng các khí cụ chỉnh nha để kéo răng về đúng vị trí, cải thiện chức năng và thẩm mỹ khuôn mặt.

Niềng răng hô có bắt buộc không?
Nếu tình trạng hô do răng mọc lệch, chìa ra ngoài (không phải do xương hàm), thì niềng răng là phương án tối ưu. Việc can thiệp sớm sẽ giúp:
-
Giảm áp lực lên khớp thái dương hàm
-
Phòng ngừa sâu răng và viêm nướu do khó vệ sinh
-
Tăng sự tự tin khi cười và giao tiếp

>>>Tư vấn miễn phí tại: Lotus Smile Dental - Nha Khoa Đà Nẵng
Quy trình niềng răng hô chuẩn tại nha khoa hiện đại
Dưới đây là 6 bước tiêu chuẩn khi thực hiện niềng răng hô tại các cơ sở uy tín:
1. Thăm khám cùng bác sĩ:
Khi đến cơ sở nha khoa, các bác sĩ kiểm tra tình trạng răng của bệnh nhân để nắm rõ những vấn đề mà bệnh nhân đang gặp phải.
2. Tư vấn tình trạng
Các bác sĩ tiến hành:
- Chụp CT Conebeam
- Lấy dấu toàn hàm
Nhằm xác định chính xác tình trạng răng miệng của bệnh nhân.
3. Lên phác đồ điều trị
Khi bệnh nhân đồng ý niềng răng và được tư vấn phương pháp phù hợp, các bác sĩ sẽ lên phác đồ điều trị riêng giúp bệnh nhân hình dung được quá trình chỉnh nha của mình rõ ràng và chính xác nhất.
4. Vệ sinh khuôn miệng và Đặt chun kẽ trước niềng
Các bác sĩ thực hiện đặt chun tách kẽ để tạo ra khoảng cách giữa các răng, hỗ trợ gắn các khâu vào răng hàm dễ dàng hơn.
5. Gắn mắc cài
Gắn mắc cài có công dụng neo giữ, nâng đỡ toàn bộ phần dây cung giúp điều chỉnh răng về đúng vị trí trên cung hàm.
6. Thăm khám định kỳ
Thông thường cứ khoảng 1 tháng, bệnh nhân sẽ quay lại tái khám 1 lần với bác sĩ, để:
- Nắn chỉnh dây cung
- Vệ sinh răng niềng định kỳ

Niềng răng hô mất bao lâu để thấy kết quả?
Tùy theo độ tuổi và tình trạng hô, thời gian niềng răng dao động từ 18 đến 36 tháng. Với người trẻ, răng dịch chuyển nhanh hơn. Trong quá trình niềng, bạn sẽ thấy răng cải thiện rõ rệt sau mỗi 3–6 tháng đầu.

Một số lưu ý khi niềng răng hô
-
Chọn nha khoa có bác sĩ chuyên sâu chỉnh nha, không nên ham rẻ
-
Tuân thủ đúng lịch tái khám và chăm sóc răng miệng tại nhà
-
Tránh ăn uống đồ cứng, quá nóng hoặc quá lạnh trong giai đoạn niềng
-
Luôn đeo hàm duy trì đủ thời gian sau khi tháo niềng
Nếu bạn đang quan tâm đến việc niềng răng và muốn biết thêm thông tin chi tiết, hãy liên hệ ngay với Nha Khoa Lotus Smile để được tư vấn cụ thể cho trường hợp của mình!
>>>Tư vấn miễn phí tại: Lotus Smile Dental - Nha Khoa Đà Nẵng
Chi Phí Niềng Răng Hô Và Chính Sách Hỗ Trợ Thanh Toán Tại Lotus Smile
Chi phí niềng răng thẩm mỹ tại Lotus Smile được công khai rõ ràng và hợp lý, đi kèm với nhiều chương trình khuyến mãi:
- Khuyến mãi ngay 20%- Niềng răng trả trước 5 triệu- Hỗ trợ trả góp 0% lãi suất
- Khám và tư vấn miễn phí tại 104 Hoàng Hoa Thám- Thanh Khê- TP Đà Nẵng
>>>Tư vấn miễn phí tại: Lotus Smile Dental - Nha Khoa Đà Nẵng
Hãy đến và trải nghiệm bọc răng sứ thẩm mỹ tại Nha khoa Lotus Smile để cảm nhận sự khác biệt!
>>>Hệ Thống Nha Khoa Quốc Tế Lotus Smile <<<<
-Trụ Sở Chính: 104 Hoàng Hoa Thám, Thạc Gián, Thanh Khê, Đà Nẵng
-Cơ sở 2: 178 Trần Phú, Diên Hồng, Tp. Pleiku, Gia Lai
-Cơ sở 3: 438 Lê Duẩn, Chư Á, Tp. Pleiku, Gia Lai
-Hotline: 0901 140 379
- Zalo: 0787 506 556
Tin khác
Trồng Răng Implant Cho Người Mất Răng Lâu Năm Có Được Không?
Ngày cập nhật: 17/11/2025
Tại Sao Nhiều Người Chọn Trồng Răng Implant Thay Vì Hàm Giả?
Ngày cập nhật: 17/11/2025
Kinh Nghiệm Trồng Răng Implant – Những Điều Bạn Cần Chuẩn Bị
Ngày cập nhật: 17/11/2025
Phân Biệt Veneer Và Bọc Răng Sứ: Nên Chọn Loại Nào Đẹp Và Bền Hơn?
Ngày cập nhật: 15/11/2025
Bọc Răng Sứ Sau Bao Lâu Thì Ăn Được Tại Nha khoa Lotus Smile?
Ngày cập nhật: 22/10/2025
Bí Quyết Giữ Răng Sứ Bền Đẹp Lâu Dài - Từ Chăm Sóc Đúng Cách Mỗi ...
Ngày cập nhật: 22/10/2025
Răng Bị Nhiễm Màu Nặng – Nên Tẩy Trắng Hay Bọc Sứ Để Lấy Lại Nụ ...
Ngày cập nhật: 22/10/2025
Hậu Quả Nguy Hiểm Khi Cấy Ghép Implant Sai Quy Trình
Ngày cập nhật: 22/10/2025
Gingivitis: Causes, Risks, and Effective Prevention
Ngày cập nhật: 13/10/2025
[CUSTOMER REVIEWS] Braces at Lotus Smile Dental – A Confident Smile Starts Here
Ngày cập nhật: 13/10/2025
6 Common Mistakes Parents Make When Taking Care of Their Children’s Tee
Ngày cập nhật: 13/10/2025
6 Common Causes of Tooth Sensitivity You Shouldn’t Ignore
Ngày cập nhật: 13/10/2025