Mở cửa từ 8h - 20h
Từ T2 - CN
|
Tin khuyến mãi
BẢO VỆ NỤ CƯỜI GIA ĐÌNH VIỆT
Tiếng Việt
|
English
Lotus Smile Dental - Nha Khoa Quốc Tế Lotus Smile
Giới thiệu
Về chúng tôi
Đội ngũ bác sĩ
Nha khoa tổng quát
Chụp phim
Nhổ răng
Điều trị phòng ngừa
Tẩy trắng răng
Nha khoa thẩm mỹ
Bọc - Dán răng sứ
Chỉnh nha - Niềng răng
Trồng răng Implant
Tips chăm sóc răng
Kiến thức
Tin tức chung
Chia sẻ của Bác sĩ
Đặt Lịch Hẹn
Menu
Về chúng tôi
Nha khoa thẩm mỹ
Nha khoa tổng quát
Thẩm mỹ hàm mặt
Bảng giá
Tips chăm sóc răng
en
Trang chủ
Nha khoa thẩm mỹ
Bọc - Dán răng sứ
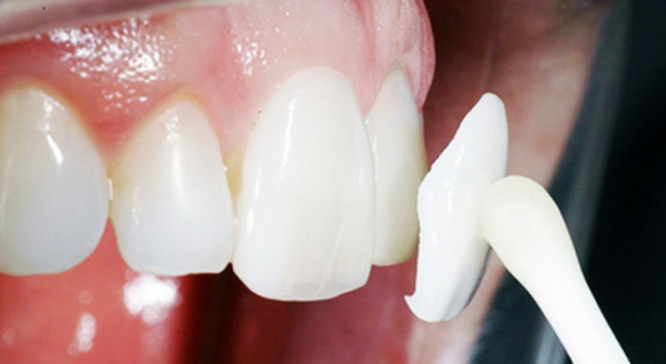
Dán răng sứ có tốt không? Có bền không? Có ưu nhược điểm gì?
Cầu răng sứ là gì? Có tuổi thọ bao lâu? Và giá làm bắc cầu sứ bao nhiêu?
Bọc răng sứ giá ưu đãi
Dán Sứ Veneer – Cải Thiện Khuyết Điểm Răng Hàm Một Cách Toàn Diện
Bọc răng sứ giá ưu đãi chỉ từ 999K
Răng sứ Cercon HT - Địa chỉ nha khoa Lotus Smile Đà Nẵng Uy Tín
Bọc răng sứ - Giải pháp hoàn hảo khắc phục các tình trạng của răng
Khi Nào Bạn Cần Bọc Răng Sứ
Tên sản phẩm
Giá niêm yết
100.000 đ
Giá khuyến mãi
90.000 đ
Thêm vào giỏ
×
Gọi ngay để được tư vấn & đặt lịch hẹn
0901 149 379
Hoặc để lại số điện thoại của bạn để nhận cuộc gọi từCông Ty TNHH Nha Khoa Bông Sen Việt
Yêu cầu gọi lại
×
Đăng ký tư vấn miễn phí
Dán răng sứ có tốt không? Có bền không? Có ưu nhược điểm gì?
Cầu răng sứ là gì? Có tuổi thọ bao lâu? Và giá làm bắc cầu sứ bao nhiêu?
Nhược điểm của trồng răng implant và một số lưu ý bạn cần biết
Trồng răng cấm có đau không? Chi Phí Trồng Răng Cấm Giá Bao Nhiêu Tiền?
Trồng răng Implant có đau không? Mất bao lâu để hồi phục
Chi Phí Nhổ Răng Số 8 Bao Nhiêu Tiền?
Facemask chỉnh nha – Khí cụ hỗ trợ điều trị khớp cắn ngược cho trẻ
Tẩy trắng răng laser giải pháp cho răng ố vàng, sẫm màu
Điều trị cười hở lợi bằng cách nào an toàn, không tái phát?
Răng trẻ em lung lay bao lâu thì nên nhổ? Cách nhổ răng lung lay không đau
Hoàn thành
Tư vấn trực tiếp:
0909765053
x
Xác nhận / Send
Đăng ký ưu đãi
Phone: 0901149379
Whatsapp chat: +(84)909765053
Whatsapp tel: +(84)909765053
Zalo: 0909765053
Facebook Message chat