Bệnh viêm nha chu: dấu hiệu, nguyên nhân, điều trị và phòng ngừa
Viêm nha chu là bệnh nhiễm trùng nướu nghiêm trọng làm tổn thương các mô xung quanh răng, là kết quả của thói quen vệ sinh răng miệng không tốt. Nếu không điều trị, viêm nha chu có thể phá hủy xương nâng đỡ răng, khiến răng bị lung lay hoặc mất răng. Tìm hiểu về dấu hiệu, nguyên nhân, cách điều trị và phòng ngừa viêm nha chu hiệu quả trong bài viết này.
Viêm nha chu là gì?
Viêm nha chu là bệnh nhiễm trùng nướu răng cấp độ nặng, do vi khuẩn và các vi sinh vật khác bám trên bề mặt răng và trong các túi xung quanh răng gây ra. Khi chúng nhân lên, hệ thống miễn dịch phản ứng, dẫn đến viêm quanh chân răng.
Viêm nha chu là bệnh viêm mạn tính. Trong giai đoạn viêm nha chu tiến triển sẽ gây tổn thương xương và răng. Nếu không được điều trị hoặc điều trị sai cách sẽ dẫn đến mất răng, có thể làm tăng nguy cơ đột quỵ, đau tim và các vấn đề sức khỏe khác. Tuy nhiên, nếu viêm nha chu được điều trị sớm và duy trì vệ sinh răng miệng đúng cách sẽ được trị khỏi.
Viêm nha chu – Periodontitis gây viêm quanh chân răng

Dấu hiệu viêm nha chu
Nướu khỏe mạnh sẽ săn chắc và vừa khít với răng. Màu sắc của nướu khỏe mạnh có thể khác nhau. Chúng có thể có màu từ hồng nhạt đến hồng đậm và nâu tùy vào cơ địa mỗi người. Những dấu hiệu viêm nha chu bao gồm:
Nướu sưng đỏ hoặc sưng húp.
Nướu chuyển sang màu đỏ tươi, đỏ sẫm hoặc tím sẫm.
Cảm giác mềm khi chạm vào.
Nướu dễ chảy máu khi đánh răng hoặc xỉa răng.
Bàn chải đánh răng có màu hồng sau khi đánh răng.
Khạc ra máu khi đánh răng hoặc xỉa răng.
Hôi miệng dai dẳng.
Xuất hiện mủ giữa răng và nướu.
Răng lung lay hoặc mất răng.
Đau khi nhai.
Khoảng trống mới phát triển giữa răng giống như hình tam giác màu đen.
Tụt nướu.
Có sự thay đổi trong khoảng cách giữa các răng.
Trong một số trường hợp đặc biệt, các triệu chứng có thể không xuất hiện cho đến khi người bệnh bước qua tuổi 40. Giai đoạn 40 – 50 tuổi, viêm nha chu có thể tiến triển và người đó có thể bị tổn thương không thể phục hồi.
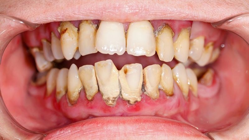
Hình ảnh viêm nha chu

Phân biệt viêm nướu và viêm nha chu
Viêm nướu xảy ra trước viêm nha chu. Viêm nướu là tình trạng viêm chỉ giới hạn ở đường viền nướu, trong khi viêm nha chu là tình trạng tiêu xương hàm, dây chằng nha chu và xi măng chân răng.
Trong viêm nướu, các cấu trúc neo giữ răng tại chỗ vẫn chưa bị mất. Việc vệ sinh răng miệng tốt tại nhà có thể ngăn viêm nướu và phục hồi nướu khỏe mạnh. Nhưng với bệnh viêm nha chu thì khác, một khi ổ viêm gây ra tình trạng mất xương, tổn thương này không thể phục hồi được. Điều trị viêm nha chu không chỉ cần vệ sinh răng miệng tốt tại nhà và cần sự chăm sóc từ nha sĩ hoặc bác sĩ răng hàm mặt.
1. Viêm nướu
Khoảng 90% người lớn bị viêm nướu do mảng bám vi khuẩn tích tụ trên bề mặt răng. Dấu hiệu của viêm nướu bao gồm: nướu đỏ và viêm sưng, có chảy máu trong khi đánh răng, răng không lung lay. Viêm nướu không gây tổn thương không thể khắc phục đối với xương hoặc mô xung quanh. Nhưng nếu không được điều trị có thể tiến triển thành viêm nha chu.
2. Viêm nha chu
Với viêm nha chu, nướu và xương bị tiêu đi, tạo thành các túi ở chân răng. Chân răng ngày càng lộ ra ngoài. Các mảnh vụn tích tụ trong khoảng trống giữa nướu và răng, gây nhiễm trùng khu vực này. Hệ thống miễn dịch tấn công vi khuẩn khi mảng bám lan ra bên dưới đường viền nướu vào các túi. Điều này dẫn đến một phản ứng miễn dịch, liên quan đến việc giải phóng độc tố và viêm nhiễm, khiến xương và các mô liên kết neo giữ răng bắt đầu bị phá vỡ. Răng có thể bị lung lay và rụng. Những tổn thương do viêm nha chu gây ra không thể khắc phục.
Viêm nha chu gây những tổn thương không thể khắc phục đối với mô và xương
Nguyên nhân viêm nha chu là gì?

Trong hầu hết các trường hợp, viêm nha chu bắt đầu từ mảng bám. Mảng bám là một màng dính được tạo thành từ vi khuẩn. Nếu không được điều trị, bệnh tiến triển theo thời gian thành viêm nha chu:
Mảng bám hình thành trên răng khi tinh bột và đường trong thức ăn tương tác với vi khuẩn thường thấy trong miệng. Đánh răng 2 lần/ngày và dùng chỉ nha khoa mỗi ngày một lần sẽ loại bỏ mảng bám.
Mảng bám có thể cứng lại dưới đường viền nướu hình thành cao răng nên khó loại bỏ hơn. Bạn không thể loại bỏ mảng bám bằng cách đánh răng và dùng chỉ nha khoa mà cần đi cạo vôi răng. Mảng bám và cao răng chứa đầy vi khuẩn, chúng càng ở trên răng của bạn lâu thì càng gây nhiều tổn thương.
Mảng bám có thể gây viêm nướu, dạng nhẹ nhất của bệnh nướu răng. Viêm nướu là tình trạng kích ứng và sưng mô nướu xung quanh chân răng. Mảng bám có thể được khắc phục bằng cách chăm sóc răng miệng tốt tại nhà và đến bác sĩ răng hàm mặt sớm trước khi bạn bị tiêu xương.
Kích ứng và sưng nướu có thể gây viêm nha chu. Điều này gây ra các túi sâu hình thành giữa nướu và răng của bạn. Túi này chứa đầy mảng bám, cao răng, vi khuẩn và trở nên sâu hơn theo thời gian. Nếu không được điều trị, nhiễm trùng tiến triển sâu hơn sẽ gây mất mô và xương. Cuối cùng, bạn có thể mất răng. Tình trạng viêm liên tục có thể gây căng thẳng cho hệ thống miễn dịch, gây ra các vấn đề sức khỏe khác.
Viêm nha chu bắt đầu từ những mảng bám chứa đầy vi khuẩn trên răng
Các yếu tố nguy cơ gây bệnh nha chu
Các yếu tố có thể làm tăng nguy cơ viêm nha chu bao gồm:
Viêm lợi.
Thói quen chăm sóc sức khỏe răng miệng kém.
Hút nhai thuốc lá.
Thay đổi nội tiết tố liên quan đến mang thai hoặc mãn kinh.
Sử dụng ma túy, cần sa hoặc thuốc lá điện tử.
Dinh dưỡng kém, thiếu vitamin C.
Di truyền học.
Một số loại thuốc gây khô miệng hoặc thay đổi kẹo cao su.
Mắc các bệnh làm giảm khả năng miễn dịch, chẳng hạn như bệnh bạch cầu, HIV/AIDS và điều trị ung thư.
Một số bệnh như bệnh tiểu đường, viêm khớp dạng thấp và bệnh Crohn.
Bệnh nha chu có nguy hiểm không?

Viêm nha chu là bệnh nguy hiểm vì biến chứng viêm nha chu khiến các cấu trúc hỗ trợ của răng, bao gồm cả xương hàm bị phá hủy. Răng của bạn nới lỏng và có thể bị rụng hoặc cần nhổ và nhiều hệ lụy sức khỏe khác. Vi khuẩn gây viêm nha chu có thể xâm nhập vào máu thông qua mô nướu, ảnh hưởng đến các bộ phận khác của cơ thể. Viêm nha chu có liên quan đến bệnh hô hấp, viêm khớp dạng thấp, bệnh động mạch vành, sinh non và nhẹ cân cũng như các vấn đề kiểm soát lượng đường trong máu ở bệnh tiểu đường.
Viêm nha chu có lây không?
Có. Nước bọt chứa vi khuẩn gây bệnh viêm nha chu rất dễ lây lan từ người bệnh sang người khác. Con đường lây nhiễm chủ yếu qua nước bọt nếu bạn uống chung ly, hôn hoặc dùng chung đồ dùng với người bệnh.
Bệnh nha chu có thể lây nhưng không có nghĩa là bạn chắc chắn sẽ mắc bệnh khi tiếp xúc gần gũi với người bệnh. Nguy cơ lây lan bệnh viêm nha chu tăng lên khi hoạt động tiếp xúc diễn ra trong thời gian dài kết hợp với việc vệ sinh răng miệng kém. Bệnh nha chu hầu như có thể ngừa được bằng cách vệ sinh răng miệng đúng cách.
Chẩn đoán bệnh nha chu
1. Khám lâm sàng
Khám lâm sàng tại phòng khám nha khoa là cách duy nhất để đánh giá đúng tình trạng của nướu và các cấu trúc nâng đỡ răng. Trong lần kiểm tra đầu tiên, nha sĩ hoặc bác sĩ răng hàm mặt sẽ mất vài phút thực hiện kiểm tra nha chu cơ bản. Quá trình kiểm tra này nhanh chóng xác định xem bạn có bị viêm nướu hoặc viêm nha chu hay không.
Nha sĩ hoặc bác sĩ răng hàm mặt sẽ sử dụng một đầu dò đặc biệt (được gọi là đầu dò nha chu) để thăm khám, đo nhẹ nhàng và chính xác tại các vị trí khác nhau ở 2 hàm. Đầu dò đo khoảng cách giữa đường viền nướu và đáy của “túi”. Ở những vị trí khỏe mạnh, độ sâu thăm dò là 3mm hoặc ít hơn. Ở những nơi có viêm nha chu, độ sâu là 4mm hoặc hơn.
Các lần kiểm tra tiếp theo chỉ được thực hiện nếu nướu răng có dấu hiệu tổn thương cấu trúc nâng đỡ răng. Nha sĩ sẽ đánh giá biểu đồ nha chu, chiều cao của xương hàm (mức bám dính) được ghi sau khám lâm sàng để chẩn đoán chính xác viêm nha chu và lập kế hoạch điều trị tiếp theo.
.jpg)
2. Chụp X-quang
Việc chụp X-quang để chẩn đoán viêm nha chu được thực hiện sau khi khám lâm sàng. Kết quả chụp X-quang cho thấy mức độ bao phủ của xương quanh răng và giúp ước tính mức độ nghiêm trọng của tình trạng mất xương.
.jpg)
3. Xét nghiệm vi sinh
Xét nghiệm vi sinh kiểm tra thành phần của mảng bám răng để tìm vi khuẩn có hại, chúng bao gồm:
Prevotella trung gian
porphyromonas nướu
Aggregatibacter xạ khuẩn
Treponema denticola
Kết quả xét nghiệm này có thể cung cấp thông tin giúp nha sĩ hoặc bác sĩ phương án điều trị phù hợp và tránh điều trị không cần thiết.
4. Chẩn đoán dựa trên giai đoạn và cấp độ bệnh
Các trường hợp viêm nha chu được phân loại theo 4 giai đoạn và 3 cấp độ. Các giai đoạn mô tả mức độ nghiêm trọng và mức độ lan rộng của bệnh. Các cấp độ mô tả tốc độ tiến triển có thể xảy ra. Phân loại các trường hợp viêm nha chu theo cách này, nha sĩ và bác sĩ nha chu có thể đưa ra hình thức điều trị thích hợp cho từng người bệnh.
Viêm nha chu có chữa được không?
Viêm nha chu là một dạng nặng của bệnh nướu răng. Các triệu chứng đặc trưng bao gồm nướu đỏ, chảy máu và mềm, răng lung lay, hơi thở có mùi và tụt nướu. Viêm nha chu không thể chữa khỏi nhưng có thể kiểm soát được nếu được chăm sóc và điều trị đúng cách. Bạn có thể kiểm soát tình trạng này bằng cách chăm sóc sức khỏe răng miệng đúng cách. Điều này bao gồm vệ sinh răng miệng tốt và làm sạch răng thường xuyên theo các khoảng thời gian khuyến nghị của nha sĩ.
Phương pháp điều trị viêm nha chu
1. Điều trị khẩn cấp
Điều trị nha chu khẩn cấp được áp dụng khi phát hiện khối áp xe ở vùng nướu hoặc phần niêm mạc nướu bị viêm nha chu. Ổ áp xe gây đau và sưng đỏ niêm mạc. Lúc này, nha sĩ hoặc bác sĩ nha chu có thể chỉnh định dùng thuốc kháng sinh, kháng viêm để làm giảm các triệu chứng và làm chậm quá trình tiến triển của bệnh. Tuy nhiên, điều trị khẩn cấp chỉ là phương án tạm thời, viêm nha chu có khả năng tiến triển thành bệnh mạn tính và tái phát cấp tính theo chu kỳ.
2. Điều trị không phẫu thuật
Phương pháp điều trị không phẫu thuật thường hiệu quả với những người bị viêm nha chu nhẹ đến trung bình. Những phương pháp điều trị này bao gồm:
Thuốc kháng sinh: nha sĩ có thể kê đơn thuốc kháng sinh đường uống để chống nhiễm trùng. Hoặc đặt một loại thuốc kháng sinh tại chỗ bên dưới nướu, nhắm vào khu vực bị ảnh hưởng.
Cạo vôi và làm sạch gốc răng: được gọi là làm sạch sâu, cạo vôi răng và làm sạch gốc răng tương tự như việc làm sạch thông thường. Người bệnh được gây tê cục bộ để làm tê nướu. Bác sĩ quét sạch vi khuẩn nằm sâu bên dưới đường viền nướu, sau đó làm nhẵn chân răng, ngăn mảng bám và vi khuẩn tích tụ thêm. Sau 1 tháng cạo vôi răng, bạn phải gặp bác sĩ để kiểm tra nướu và xem việc điều trị hiệu quả như thế nào.
3. Điều trị phẫu thuật
Phẫu thuật điều trị viêm nha chu nếu tình trạng viêm từ trung bình đến nặng. Các phương pháp điều trị phẫu thuật bao gồm:
Phẫu thuật vạt: bác sĩ nha chu sẽ rạch một đường dọc theo đường viền nướu và tạm thời nhấc mô nướu khỏi răng, sau đó làm sạch chân răng.
Ghép xương răng: nếu bị mất nhiều xương, nha sĩ hoặc bác sĩ nha chu có thể đề nghị ghép xương. Trong quy trình này, bác sĩ sẽ đặt vật liệu ghép xương vào những vùng bị mất mô xương. Vật liệu này có thể là xương của chính người bệnh, xương được hiến tặng hoặc vật liệu tổng hợp. Mảnh ghép đóng vai trò như một giá đỡ cho sự phát triển của xương mới.
Ghép nướu: viêm nha chu khiến mô nướu bị kéo ra khỏi răng, gây tụt nướu, lộ chân răng. Để thay thế mô bị mất quanh răng, nha sĩ hoặc bác sĩ có thể đề nghị ghép nướu. Người bệnh được đặt một mảnh ghép mô xung quanh răng bị ảnh hưởng và khâu nó vào đúng vị trí. Mô ghép nướu có thể lấy từ mô vòm miệng của bạn hoặc mua mô từ ngân hàng mô và xương được cấp phép. Phẫu thuật ghép nướu bao phủ chân răng bị lộ, cải thiện vẻ ngoài, nụ cười và giảm nguy cơ tụt lợi thêm.
Tái tạo mô có hướng dẫn: nha sĩ đặt một màng tương thích sinh học đặc biệt giữa xương hiện có và răng. Lớp màng này giữ các mô và kích thích xương phát triển trở lại.
Huyết tương giàu tiểu cầu (PRP): nếu bị mất xương hoặc mô nướu, PRP có thể giúp tái tạo nó. Nha sĩ hoặc bác sĩ nha chu sẽ lấy huyết tương giàu tiểu cầu từ một mẫu máu của người bệnh. Mẫu máu này được quay ly tâm để tách huyết tương khỏi các tế bào hồng cầu và bạch cầu. Sau đó đặt huyết tương giàu tiểu cầu vào những vùng thiếu hụt để kích thích sự phát triển xương mới.
4. Điều trị duy trì
Thăm khám định kỳ để theo dõi sức khỏe nha chu sau khi điều trị khỏi bệnh rất cần thiết. Điều này giúp bạn phát hiện và ngăn chặn kịp thời nguy cơ tái phát bệnh.
Cách chữa viêm nha chu răng tại nhà
Điều trị tại nhà giúp kiểm soát sự tích tụ mảng bám và giảm nguy cơ mắc bệnh nướu răng. Hiệp hội Nha khoa Hoa Kỳ (ADA) đưa ra lời khuyên sau:
Đánh răng trong 2 phút hai lần mỗi ngày bằng bàn chải đánh răng hoặc bằng điện có lông mềm.
Sử dụng kem đánh răng có fluor.
Chải tất cả các bề mặt răng.
Thay bàn chải đánh răng 3 – 4 tháng 1 lần hoặc thường xuyên hơn nếu lông bàn chải bị xơ hoặc sờn.
Chọn bàn chải đánh răng chất lượng.
Không nên dùng chung bàn chải, vì vi khuẩn có thể lây lan theo cách này.
Cân nhắc dùng thêm: chỉ nha khoa hoặc bàn chải kẽ răng, nước súc miệng sát trùng.
Bỏ thuốc lá.
Hạn chế uống rượu.
Ăn nhiều trái cây tươi và rau quả.
Đến nha sĩ ít nhất 1 lần 1 năm.
Uống đủ nước, mỗi ngày từ 1,5 – 2 lít nước.
Kiểm soát tốt lượng đường huyết theo hướng dẫn của bác sĩ.
Viêm nha chu cần được điều trị càng sớm càng tốt
Cách phòng ngừa viêm nha chu
Cách tốt nhất để ngăn ngừa viêm nha chu là tập thói quen chăm sóc răng miệng thật tốt. Bắt đầu thói quen này khi còn trẻ và duy trì trong suốt cuộc đời.
Chăm sóc răng miệng tốt: đánh răng trong 2 phút ít nhất 2 lần 1 ngày, vào buổi sáng và trước khi đi ngủ. Dùng chỉ nha khoa ít nhất 1 lần trong ngày trước khi đánh răng để làm sạch các mẫu thức ăn và vi khuẩn còn sót lại.
Khám răng định kỳ: gặp nha sĩ 6 – 12 tháng 1 lần để làm sạch răng. Nếu bạn có các yếu tố rủi ro làm tăng khả năng mắc bệnh viêm nha chu như bị khô miệng, hút thuốc lá, bệnh tiểu đường,… cần khám răng định kỳ thường xuyên hơn.
Nghi bị viêm nha chu: Khi nào cần gặp nha sĩ?
Bạn nên đến gặp nha sĩ nếu xuất hiện các triệu chứng sau đây:
Chảy máu nướu răng khi đánh răng hoặc ăn thức ăn cứng.
Nướu bị sưng, đỏ hoặc đau.
Hôi miệng.
Răng lung lay.
Loét hoặc có mảng đỏ trong miệng.
Xuất hiện khối u trên nướu, cảm giác cộm ở môi.
Khi xuất hiện những triệu chứng này bạn có thể cần phải điều trị khẩn cấp hoặc khám lâm sàng để loại trừ các nguyên nhân khác như ung thư miệng hoặc áp xe.
.jpg)
Nha khoa Quốc Tế Lotus Smile là địa chỉ khám bệnh viêm nha chu uy tín, an toàn. Nha khoa quy tụ nhiều bác sĩ giỏi, giàu kinh nghiệm trong lĩnh vực chẩn đoán, điều trị chuyên sâu về bệnh răng miệng. Nha khoa Quốc Tế Lotus Smile được đầu tư đồng bộ máy móc, trang thiết bị hiện đại bật nhất, nhập khẩu từ châu Âu, Mỹ, Nhật Bản,… giúp bạn an tâm điều trị, nâng cao chất lượng cuộc sống.
Viêm nha chu có thể xảy ra với những người có thói quen vệ sinh răng miệng xấu, hút thuốc, người mắc các bệnh làm suy giảm miễn dịch,… Viêm nha chu có thể dẫn đến mất răng, khó chịu ở nướu và hôi miệng, làm tăng nguy cơ mắc bệnh tim và các biến chứng khác. Để tránh viêm nha chu, mọi người nên đánh răng 2 lần 1 ngày, dùng chỉ nha khoa hàng ngày và khám nha sĩ ít nhất mỗi năm một lần. Một chế độ ăn uống ưu khoa học, đủ dinh dưỡng cũng có thể hữu ích.
-------------------
Nha khoa Quốc tế Lotus Smile Đà Nẵng
Địa chỉ: 104 Hoàng Hoa Thám, Thạc Gián, Thanh Khê, Đà Nẵng
Hotline: 0901 140 379
Viêm nha chu là bệnh nhiễm trùng nướu răng cấp độ nặng, do vi khuẩn và các vi sinh vật khác bám trên bề mặt răng và trong các túi xung quanh răng gây ra. Khi chúng nhân lên, hệ thống miễn dịch phản ứng, dẫn đến viêm quanh chân răng.
Viêm nha chu là bệnh viêm mạn tính. Trong giai đoạn viêm nha chu tiến triển sẽ gây tổn thương xương và răng. Nếu không được điều trị hoặc điều trị sai cách sẽ dẫn đến mất răng, có thể làm tăng nguy cơ đột quỵ, đau tim và các vấn đề sức khỏe khác. Tuy nhiên, nếu viêm nha chu được điều trị sớm và duy trì vệ sinh răng miệng đúng cách sẽ được trị khỏi.
Viêm nha chu – Periodontitis gây viêm quanh chân răng

Dấu hiệu viêm nha chu
Nướu khỏe mạnh sẽ săn chắc và vừa khít với răng. Màu sắc của nướu khỏe mạnh có thể khác nhau. Chúng có thể có màu từ hồng nhạt đến hồng đậm và nâu tùy vào cơ địa mỗi người. Những dấu hiệu viêm nha chu bao gồm:
Nướu sưng đỏ hoặc sưng húp.
Nướu chuyển sang màu đỏ tươi, đỏ sẫm hoặc tím sẫm.
Cảm giác mềm khi chạm vào.
Nướu dễ chảy máu khi đánh răng hoặc xỉa răng.
Bàn chải đánh răng có màu hồng sau khi đánh răng.
Khạc ra máu khi đánh răng hoặc xỉa răng.
Hôi miệng dai dẳng.
Xuất hiện mủ giữa răng và nướu.
Răng lung lay hoặc mất răng.
Đau khi nhai.
Khoảng trống mới phát triển giữa răng giống như hình tam giác màu đen.
Tụt nướu.
Có sự thay đổi trong khoảng cách giữa các răng.
Trong một số trường hợp đặc biệt, các triệu chứng có thể không xuất hiện cho đến khi người bệnh bước qua tuổi 40. Giai đoạn 40 – 50 tuổi, viêm nha chu có thể tiến triển và người đó có thể bị tổn thương không thể phục hồi.
Hình ảnh viêm nha chu

Phân biệt viêm nướu và viêm nha chu
Viêm nướu xảy ra trước viêm nha chu. Viêm nướu là tình trạng viêm chỉ giới hạn ở đường viền nướu, trong khi viêm nha chu là tình trạng tiêu xương hàm, dây chằng nha chu và xi măng chân răng.
Trong viêm nướu, các cấu trúc neo giữ răng tại chỗ vẫn chưa bị mất. Việc vệ sinh răng miệng tốt tại nhà có thể ngăn viêm nướu và phục hồi nướu khỏe mạnh. Nhưng với bệnh viêm nha chu thì khác, một khi ổ viêm gây ra tình trạng mất xương, tổn thương này không thể phục hồi được. Điều trị viêm nha chu không chỉ cần vệ sinh răng miệng tốt tại nhà và cần sự chăm sóc từ nha sĩ hoặc bác sĩ răng hàm mặt.
1. Viêm nướu
Khoảng 90% người lớn bị viêm nướu do mảng bám vi khuẩn tích tụ trên bề mặt răng. Dấu hiệu của viêm nướu bao gồm: nướu đỏ và viêm sưng, có chảy máu trong khi đánh răng, răng không lung lay. Viêm nướu không gây tổn thương không thể khắc phục đối với xương hoặc mô xung quanh. Nhưng nếu không được điều trị có thể tiến triển thành viêm nha chu.
2. Viêm nha chu
Với viêm nha chu, nướu và xương bị tiêu đi, tạo thành các túi ở chân răng. Chân răng ngày càng lộ ra ngoài. Các mảnh vụn tích tụ trong khoảng trống giữa nướu và răng, gây nhiễm trùng khu vực này. Hệ thống miễn dịch tấn công vi khuẩn khi mảng bám lan ra bên dưới đường viền nướu vào các túi. Điều này dẫn đến một phản ứng miễn dịch, liên quan đến việc giải phóng độc tố và viêm nhiễm, khiến xương và các mô liên kết neo giữ răng bắt đầu bị phá vỡ. Răng có thể bị lung lay và rụng. Những tổn thương do viêm nha chu gây ra không thể khắc phục.
Viêm nha chu gây những tổn thương không thể khắc phục đối với mô và xương
Nguyên nhân viêm nha chu là gì?

Trong hầu hết các trường hợp, viêm nha chu bắt đầu từ mảng bám. Mảng bám là một màng dính được tạo thành từ vi khuẩn. Nếu không được điều trị, bệnh tiến triển theo thời gian thành viêm nha chu:
Mảng bám hình thành trên răng khi tinh bột và đường trong thức ăn tương tác với vi khuẩn thường thấy trong miệng. Đánh răng 2 lần/ngày và dùng chỉ nha khoa mỗi ngày một lần sẽ loại bỏ mảng bám.
Mảng bám có thể cứng lại dưới đường viền nướu hình thành cao răng nên khó loại bỏ hơn. Bạn không thể loại bỏ mảng bám bằng cách đánh răng và dùng chỉ nha khoa mà cần đi cạo vôi răng. Mảng bám và cao răng chứa đầy vi khuẩn, chúng càng ở trên răng của bạn lâu thì càng gây nhiều tổn thương.
Mảng bám có thể gây viêm nướu, dạng nhẹ nhất của bệnh nướu răng. Viêm nướu là tình trạng kích ứng và sưng mô nướu xung quanh chân răng. Mảng bám có thể được khắc phục bằng cách chăm sóc răng miệng tốt tại nhà và đến bác sĩ răng hàm mặt sớm trước khi bạn bị tiêu xương.
Kích ứng và sưng nướu có thể gây viêm nha chu. Điều này gây ra các túi sâu hình thành giữa nướu và răng của bạn. Túi này chứa đầy mảng bám, cao răng, vi khuẩn và trở nên sâu hơn theo thời gian. Nếu không được điều trị, nhiễm trùng tiến triển sâu hơn sẽ gây mất mô và xương. Cuối cùng, bạn có thể mất răng. Tình trạng viêm liên tục có thể gây căng thẳng cho hệ thống miễn dịch, gây ra các vấn đề sức khỏe khác.
Viêm nha chu bắt đầu từ những mảng bám chứa đầy vi khuẩn trên răng
Các yếu tố nguy cơ gây bệnh nha chu
Các yếu tố có thể làm tăng nguy cơ viêm nha chu bao gồm:
Viêm lợi.
Thói quen chăm sóc sức khỏe răng miệng kém.
Hút nhai thuốc lá.
Thay đổi nội tiết tố liên quan đến mang thai hoặc mãn kinh.
Sử dụng ma túy, cần sa hoặc thuốc lá điện tử.
Dinh dưỡng kém, thiếu vitamin C.
Di truyền học.
Một số loại thuốc gây khô miệng hoặc thay đổi kẹo cao su.
Mắc các bệnh làm giảm khả năng miễn dịch, chẳng hạn như bệnh bạch cầu, HIV/AIDS và điều trị ung thư.
Một số bệnh như bệnh tiểu đường, viêm khớp dạng thấp và bệnh Crohn.
Bệnh nha chu có nguy hiểm không?

Viêm nha chu là bệnh nguy hiểm vì biến chứng viêm nha chu khiến các cấu trúc hỗ trợ của răng, bao gồm cả xương hàm bị phá hủy. Răng của bạn nới lỏng và có thể bị rụng hoặc cần nhổ và nhiều hệ lụy sức khỏe khác. Vi khuẩn gây viêm nha chu có thể xâm nhập vào máu thông qua mô nướu, ảnh hưởng đến các bộ phận khác của cơ thể. Viêm nha chu có liên quan đến bệnh hô hấp, viêm khớp dạng thấp, bệnh động mạch vành, sinh non và nhẹ cân cũng như các vấn đề kiểm soát lượng đường trong máu ở bệnh tiểu đường.
Viêm nha chu có lây không?
Có. Nước bọt chứa vi khuẩn gây bệnh viêm nha chu rất dễ lây lan từ người bệnh sang người khác. Con đường lây nhiễm chủ yếu qua nước bọt nếu bạn uống chung ly, hôn hoặc dùng chung đồ dùng với người bệnh.
Bệnh nha chu có thể lây nhưng không có nghĩa là bạn chắc chắn sẽ mắc bệnh khi tiếp xúc gần gũi với người bệnh. Nguy cơ lây lan bệnh viêm nha chu tăng lên khi hoạt động tiếp xúc diễn ra trong thời gian dài kết hợp với việc vệ sinh răng miệng kém. Bệnh nha chu hầu như có thể ngừa được bằng cách vệ sinh răng miệng đúng cách.
Chẩn đoán bệnh nha chu
1. Khám lâm sàng
Khám lâm sàng tại phòng khám nha khoa là cách duy nhất để đánh giá đúng tình trạng của nướu và các cấu trúc nâng đỡ răng. Trong lần kiểm tra đầu tiên, nha sĩ hoặc bác sĩ răng hàm mặt sẽ mất vài phút thực hiện kiểm tra nha chu cơ bản. Quá trình kiểm tra này nhanh chóng xác định xem bạn có bị viêm nướu hoặc viêm nha chu hay không.
Nha sĩ hoặc bác sĩ răng hàm mặt sẽ sử dụng một đầu dò đặc biệt (được gọi là đầu dò nha chu) để thăm khám, đo nhẹ nhàng và chính xác tại các vị trí khác nhau ở 2 hàm. Đầu dò đo khoảng cách giữa đường viền nướu và đáy của “túi”. Ở những vị trí khỏe mạnh, độ sâu thăm dò là 3mm hoặc ít hơn. Ở những nơi có viêm nha chu, độ sâu là 4mm hoặc hơn.
Các lần kiểm tra tiếp theo chỉ được thực hiện nếu nướu răng có dấu hiệu tổn thương cấu trúc nâng đỡ răng. Nha sĩ sẽ đánh giá biểu đồ nha chu, chiều cao của xương hàm (mức bám dính) được ghi sau khám lâm sàng để chẩn đoán chính xác viêm nha chu và lập kế hoạch điều trị tiếp theo.
.jpg)
2. Chụp X-quang
Việc chụp X-quang để chẩn đoán viêm nha chu được thực hiện sau khi khám lâm sàng. Kết quả chụp X-quang cho thấy mức độ bao phủ của xương quanh răng và giúp ước tính mức độ nghiêm trọng của tình trạng mất xương.
.jpg)
3. Xét nghiệm vi sinh
Xét nghiệm vi sinh kiểm tra thành phần của mảng bám răng để tìm vi khuẩn có hại, chúng bao gồm:
Prevotella trung gian
porphyromonas nướu
Aggregatibacter xạ khuẩn
Treponema denticola
Kết quả xét nghiệm này có thể cung cấp thông tin giúp nha sĩ hoặc bác sĩ phương án điều trị phù hợp và tránh điều trị không cần thiết.
4. Chẩn đoán dựa trên giai đoạn và cấp độ bệnh
Các trường hợp viêm nha chu được phân loại theo 4 giai đoạn và 3 cấp độ. Các giai đoạn mô tả mức độ nghiêm trọng và mức độ lan rộng của bệnh. Các cấp độ mô tả tốc độ tiến triển có thể xảy ra. Phân loại các trường hợp viêm nha chu theo cách này, nha sĩ và bác sĩ nha chu có thể đưa ra hình thức điều trị thích hợp cho từng người bệnh.
Viêm nha chu có chữa được không?
Viêm nha chu là một dạng nặng của bệnh nướu răng. Các triệu chứng đặc trưng bao gồm nướu đỏ, chảy máu và mềm, răng lung lay, hơi thở có mùi và tụt nướu. Viêm nha chu không thể chữa khỏi nhưng có thể kiểm soát được nếu được chăm sóc và điều trị đúng cách. Bạn có thể kiểm soát tình trạng này bằng cách chăm sóc sức khỏe răng miệng đúng cách. Điều này bao gồm vệ sinh răng miệng tốt và làm sạch răng thường xuyên theo các khoảng thời gian khuyến nghị của nha sĩ.
Phương pháp điều trị viêm nha chu
1. Điều trị khẩn cấp
Điều trị nha chu khẩn cấp được áp dụng khi phát hiện khối áp xe ở vùng nướu hoặc phần niêm mạc nướu bị viêm nha chu. Ổ áp xe gây đau và sưng đỏ niêm mạc. Lúc này, nha sĩ hoặc bác sĩ nha chu có thể chỉnh định dùng thuốc kháng sinh, kháng viêm để làm giảm các triệu chứng và làm chậm quá trình tiến triển của bệnh. Tuy nhiên, điều trị khẩn cấp chỉ là phương án tạm thời, viêm nha chu có khả năng tiến triển thành bệnh mạn tính và tái phát cấp tính theo chu kỳ.
2. Điều trị không phẫu thuật
Phương pháp điều trị không phẫu thuật thường hiệu quả với những người bị viêm nha chu nhẹ đến trung bình. Những phương pháp điều trị này bao gồm:
Thuốc kháng sinh: nha sĩ có thể kê đơn thuốc kháng sinh đường uống để chống nhiễm trùng. Hoặc đặt một loại thuốc kháng sinh tại chỗ bên dưới nướu, nhắm vào khu vực bị ảnh hưởng.
Cạo vôi và làm sạch gốc răng: được gọi là làm sạch sâu, cạo vôi răng và làm sạch gốc răng tương tự như việc làm sạch thông thường. Người bệnh được gây tê cục bộ để làm tê nướu. Bác sĩ quét sạch vi khuẩn nằm sâu bên dưới đường viền nướu, sau đó làm nhẵn chân răng, ngăn mảng bám và vi khuẩn tích tụ thêm. Sau 1 tháng cạo vôi răng, bạn phải gặp bác sĩ để kiểm tra nướu và xem việc điều trị hiệu quả như thế nào.
3. Điều trị phẫu thuật
Phẫu thuật điều trị viêm nha chu nếu tình trạng viêm từ trung bình đến nặng. Các phương pháp điều trị phẫu thuật bao gồm:
Phẫu thuật vạt: bác sĩ nha chu sẽ rạch một đường dọc theo đường viền nướu và tạm thời nhấc mô nướu khỏi răng, sau đó làm sạch chân răng.
Ghép xương răng: nếu bị mất nhiều xương, nha sĩ hoặc bác sĩ nha chu có thể đề nghị ghép xương. Trong quy trình này, bác sĩ sẽ đặt vật liệu ghép xương vào những vùng bị mất mô xương. Vật liệu này có thể là xương của chính người bệnh, xương được hiến tặng hoặc vật liệu tổng hợp. Mảnh ghép đóng vai trò như một giá đỡ cho sự phát triển của xương mới.
Ghép nướu: viêm nha chu khiến mô nướu bị kéo ra khỏi răng, gây tụt nướu, lộ chân răng. Để thay thế mô bị mất quanh răng, nha sĩ hoặc bác sĩ có thể đề nghị ghép nướu. Người bệnh được đặt một mảnh ghép mô xung quanh răng bị ảnh hưởng và khâu nó vào đúng vị trí. Mô ghép nướu có thể lấy từ mô vòm miệng của bạn hoặc mua mô từ ngân hàng mô và xương được cấp phép. Phẫu thuật ghép nướu bao phủ chân răng bị lộ, cải thiện vẻ ngoài, nụ cười và giảm nguy cơ tụt lợi thêm.
Tái tạo mô có hướng dẫn: nha sĩ đặt một màng tương thích sinh học đặc biệt giữa xương hiện có và răng. Lớp màng này giữ các mô và kích thích xương phát triển trở lại.
Huyết tương giàu tiểu cầu (PRP): nếu bị mất xương hoặc mô nướu, PRP có thể giúp tái tạo nó. Nha sĩ hoặc bác sĩ nha chu sẽ lấy huyết tương giàu tiểu cầu từ một mẫu máu của người bệnh. Mẫu máu này được quay ly tâm để tách huyết tương khỏi các tế bào hồng cầu và bạch cầu. Sau đó đặt huyết tương giàu tiểu cầu vào những vùng thiếu hụt để kích thích sự phát triển xương mới.
4. Điều trị duy trì
Thăm khám định kỳ để theo dõi sức khỏe nha chu sau khi điều trị khỏi bệnh rất cần thiết. Điều này giúp bạn phát hiện và ngăn chặn kịp thời nguy cơ tái phát bệnh.
Cách chữa viêm nha chu răng tại nhà
Điều trị tại nhà giúp kiểm soát sự tích tụ mảng bám và giảm nguy cơ mắc bệnh nướu răng. Hiệp hội Nha khoa Hoa Kỳ (ADA) đưa ra lời khuyên sau:
Đánh răng trong 2 phút hai lần mỗi ngày bằng bàn chải đánh răng hoặc bằng điện có lông mềm.
Sử dụng kem đánh răng có fluor.
Chải tất cả các bề mặt răng.
Thay bàn chải đánh răng 3 – 4 tháng 1 lần hoặc thường xuyên hơn nếu lông bàn chải bị xơ hoặc sờn.
Chọn bàn chải đánh răng chất lượng.
Không nên dùng chung bàn chải, vì vi khuẩn có thể lây lan theo cách này.
Cân nhắc dùng thêm: chỉ nha khoa hoặc bàn chải kẽ răng, nước súc miệng sát trùng.
Bỏ thuốc lá.
Hạn chế uống rượu.
Ăn nhiều trái cây tươi và rau quả.
Đến nha sĩ ít nhất 1 lần 1 năm.
Uống đủ nước, mỗi ngày từ 1,5 – 2 lít nước.
Kiểm soát tốt lượng đường huyết theo hướng dẫn của bác sĩ.
Viêm nha chu cần được điều trị càng sớm càng tốt
Cách phòng ngừa viêm nha chu
Cách tốt nhất để ngăn ngừa viêm nha chu là tập thói quen chăm sóc răng miệng thật tốt. Bắt đầu thói quen này khi còn trẻ và duy trì trong suốt cuộc đời.
Chăm sóc răng miệng tốt: đánh răng trong 2 phút ít nhất 2 lần 1 ngày, vào buổi sáng và trước khi đi ngủ. Dùng chỉ nha khoa ít nhất 1 lần trong ngày trước khi đánh răng để làm sạch các mẫu thức ăn và vi khuẩn còn sót lại.
Khám răng định kỳ: gặp nha sĩ 6 – 12 tháng 1 lần để làm sạch răng. Nếu bạn có các yếu tố rủi ro làm tăng khả năng mắc bệnh viêm nha chu như bị khô miệng, hút thuốc lá, bệnh tiểu đường,… cần khám răng định kỳ thường xuyên hơn.
Nghi bị viêm nha chu: Khi nào cần gặp nha sĩ?
Bạn nên đến gặp nha sĩ nếu xuất hiện các triệu chứng sau đây:
Chảy máu nướu răng khi đánh răng hoặc ăn thức ăn cứng.
Nướu bị sưng, đỏ hoặc đau.
Hôi miệng.
Răng lung lay.
Loét hoặc có mảng đỏ trong miệng.
Xuất hiện khối u trên nướu, cảm giác cộm ở môi.
Khi xuất hiện những triệu chứng này bạn có thể cần phải điều trị khẩn cấp hoặc khám lâm sàng để loại trừ các nguyên nhân khác như ung thư miệng hoặc áp xe.
.jpg)
Nha khoa Quốc Tế Lotus Smile là địa chỉ khám bệnh viêm nha chu uy tín, an toàn. Nha khoa quy tụ nhiều bác sĩ giỏi, giàu kinh nghiệm trong lĩnh vực chẩn đoán, điều trị chuyên sâu về bệnh răng miệng. Nha khoa Quốc Tế Lotus Smile được đầu tư đồng bộ máy móc, trang thiết bị hiện đại bật nhất, nhập khẩu từ châu Âu, Mỹ, Nhật Bản,… giúp bạn an tâm điều trị, nâng cao chất lượng cuộc sống.
Viêm nha chu có thể xảy ra với những người có thói quen vệ sinh răng miệng xấu, hút thuốc, người mắc các bệnh làm suy giảm miễn dịch,… Viêm nha chu có thể dẫn đến mất răng, khó chịu ở nướu và hôi miệng, làm tăng nguy cơ mắc bệnh tim và các biến chứng khác. Để tránh viêm nha chu, mọi người nên đánh răng 2 lần 1 ngày, dùng chỉ nha khoa hàng ngày và khám nha sĩ ít nhất mỗi năm một lần. Một chế độ ăn uống ưu khoa học, đủ dinh dưỡng cũng có thể hữu ích.
-------------------
Nha khoa Quốc tế Lotus Smile Đà Nẵng
Địa chỉ: 104 Hoàng Hoa Thám, Thạc Gián, Thanh Khê, Đà Nẵng
Hotline: 0901 140 379
Dịch vụ khác
Chi Phí Nhổ Răng Số 8 Bao Nhiêu Tiền?
Ngày cập nhật: 03/04/2024
Răng trẻ em lung lay bao lâu thì nên nhổ? Cách nhổ răng lung lay không ...
Ngày cập nhật: 28/03/2024
NHỔ RĂNG
Ngày cập nhật: 27/03/2023
Nhổ răng khôn - Dịch vụ nhổ răng chất lượng tại Đà Nẵng
Ngày cập nhật: 05/08/2021
Tư Vấn - Chụp Phim X-quang Răng Miệng
Ngày cập nhật: 30/07/2021